XPO1: Titik Lemah yang Bisa Jadi Kunci Mengalahkan Kanker Otak Anak
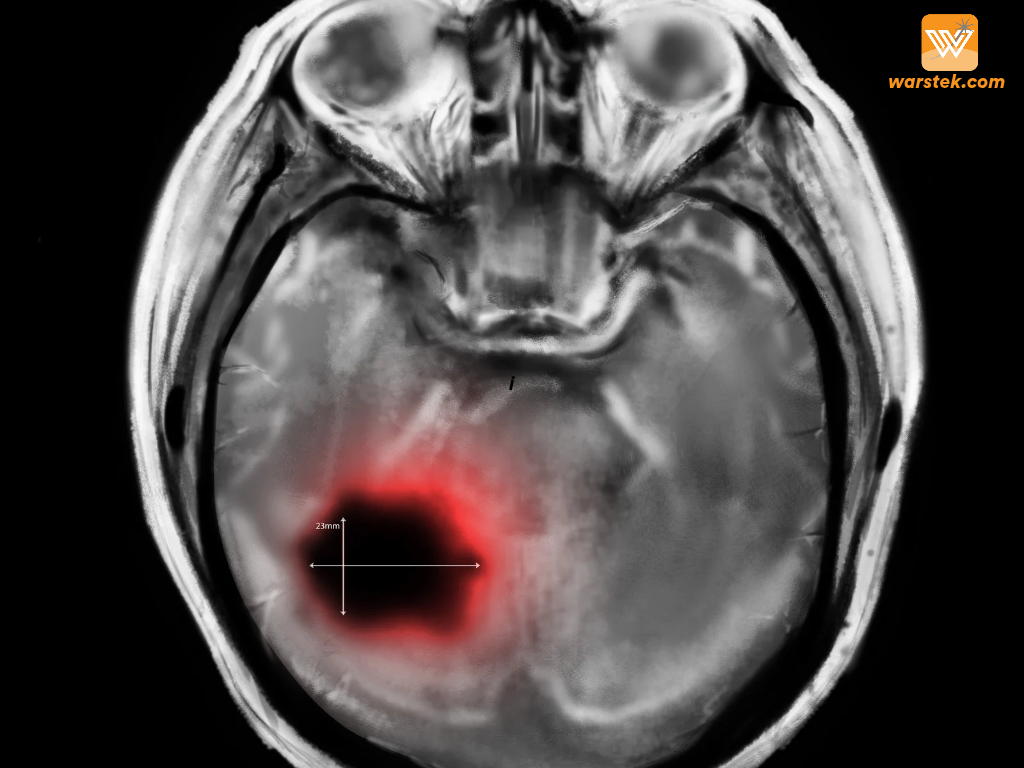
Kanker pada anak-anak selalu menjadi momok yang menakutkan, apalagi ketika jenis kanker tersebut langka, agresif, dan sulit diobati. Salah satunya […]
XPO1: Titik Lemah yang Bisa Jadi Kunci Mengalahkan Kanker Otak Anak Read Post »



